Alcuni casi di riabilitazioni estetiche complesse trattate presso lo studio dentistico di implantologia del dott. Gabriele Mirabella a Catania(Acireale)

Da oggi puoi contattare il dentista Dott Gabriele Mirabella anche via WHATSAPP.  Scrivi i tuoi dati e sarai richiamato entro 24 ore.

Tel 3334594369

IMPLANTOLOGIA A CARICO IMMEDIATO.RIPRISTINO ESTETICO E FUNZIONALE IN 24h

 

Implantologia Dentale Sicilia vi risponde!

Compilate il modulo di contatto e risponderemo ai tuoi quesiti e necessita'.

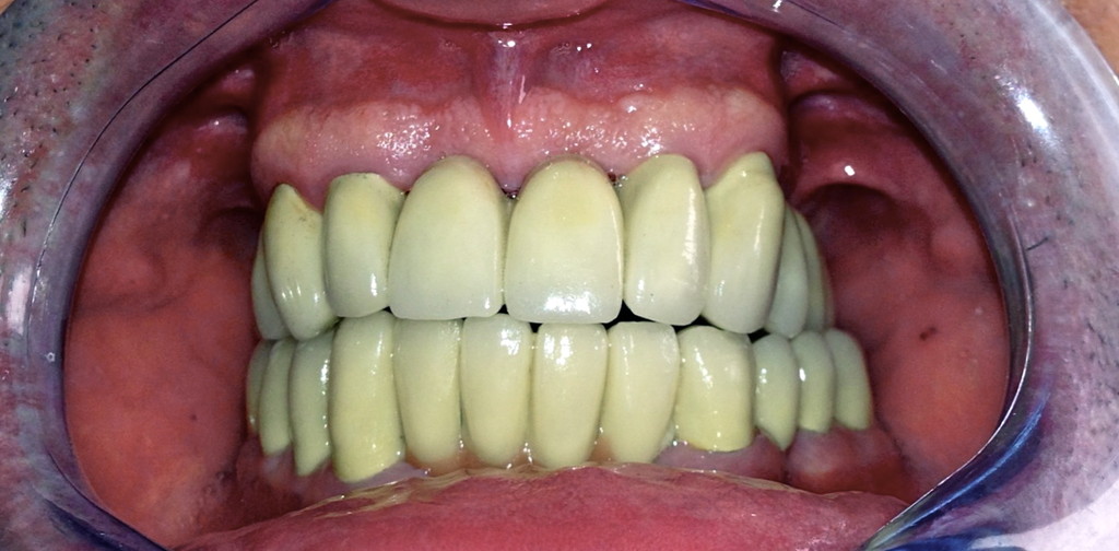
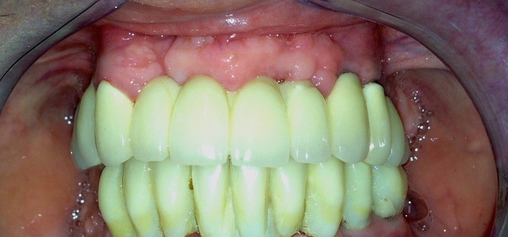
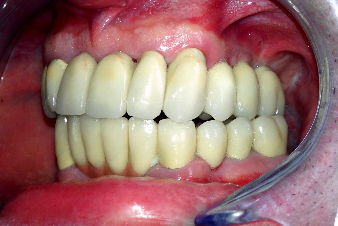
I risultati Arrivano e si vedono.

Uno dei nostri ultimi cambiamenti radicali.Il tuo sorriso può essere più vicino di quello che immagini

Total Dental MakeOver presso lo studio di implantologia sicilia del dott Gabriele Mirabella.

 

Estrarre e sostituire un dente lo stesso giorno da noi e' possibile

 

 

 

 

 

 

 

 

 

 

 

 

 

 

 

 

 

 

 

 

 

 

 

 

 

 

 

 

 

Se devi estrarre un dente oggi puoi rimpiazzarlo subito con un impianto e contestualmente mettere una corona cementata estetica.

RIABILITA LA TUA BOCCA IN 2 GIORNI!

Impianti dentali faccette estetiche e denti fissi! guarda questo caso eseguito in 2 giorni

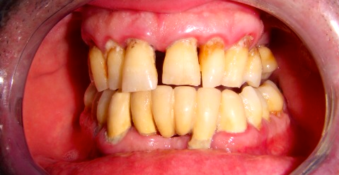
Scopri come era questa bocca prima del trattamento presso la clinica dentistica del Dott. Gabriele Mirabella
clicca se vuoi vedere il quadro clinico iniziale e vedrai che anche tu puoi avere il sorriso che hai sempre desiderato

Ripristino con intarsi estetici di otturazioni in amalgama su quattro denti in due seduto con utilizzo di diga di gomma

Convenzionati Guardia Costiera di Catania!

<< 

TURISMO DENTALE ITALIA VIENI IN SICILIA RISPARMIA IL 40%*

VOLA DA NOI

Implantologia Dentale Sicilia gestita dal Dott. Gabriele Mirabella vuole dare un' alternativa ai pazienti sempre piu' numerosi che motivati dalla consapevolezza di quanto una bocca sana sia importante decidono di recarsi all'estero ... [CONTINUA A LEGGERE]

* risparmia il 40% rispetto ai prezzi del nord italia.

Parliamo:

francese
spagnolo
inglese